Ăn tiết canh, người đàn ông bị 5 ổ sán làm tổ trong não
| 20 người bị ngộ độc sau khi ăn tiết canh Đắk Lắk: Nhiễm trùng huyết, suy đa cơ quan sau khi ăn tiết canh lợn Suýt mất mạng vì ăn tiết canh lợn cắp nách |
Mới đây, các bác sĩ Bệnh viện Hữu nghị Đa khoa Nghệ An đã tiếp nhận trường hợp một người đàn ông bị liệt nửa người do bị sán làm tổ trong não.
Theo lời kể của bệnh nhân Lô Văn S. (38 tuổi, Quỳ Hợp - Nghệ An), khoảng một tháng nay, xuất hiện những cơn đau đầu từ nhẹ đến nặng rồi đau liên tục, uống thuốc giảm đau không hiệu quả. Cách đây 1 tuần, bệnh nhân đau đầu nhiều, buồn nôn, sốt, tê yếu nửa người, tri giác chậm, nên được người nhà đưa vào viện cấp cứu.
![]() |
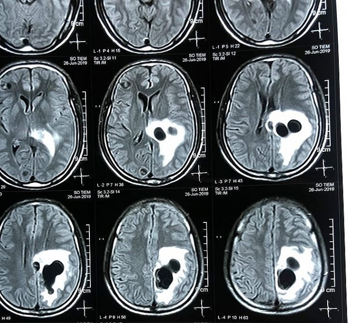
| Hình ảnh chụp CT cho thấy có 5 ổ nang sán làm tổ trong não nam bệnh nhân này. |
Kết quả chụp CT tại Bệnh viện Hữu nghị Đa khoa Nghệ An cho thấy có 5 ổ sán nằm rải rác trong não nam bệnh nhân này. Trong đó có một ổ sán lớn trên đỉnh gây phù não.
Ngay sau đó, bệnh nhân S. được chỉ định can thiệp ngoại khoa để vét được cả 5 ổ nang sán ra khỏi não.
Sau phẫu thuật, bệnh nhân hồi phục, tỉnh táo, không liệt, đi lại và sinh hoạt bình thường và tiếp tục được điều trị thuốc đặc trị sán.
![]() |
| Những ổ nang sán được phẫu thuật loại bỏ ra ngoài. |
Sán làm tổ trong não là bệnh nhiễm trùng hệ thần kinh do ấu trùng sán sống ký sinh ở người gây ra. Bệnh thường gặp ở người dân nơi có mức sống thấp, điều kiện vệ sinh môi trường kém, vùng có tập quán nuôi lợn thả rông hoặc ăn thịt lợn chưa nấu chín.
Để phòng bệnh sán làm tổ trong não, nên ăn chín, uống sôi, tuyệt đối không ăn tiết canh, gỏi sống... Khi xuất hiện các cơn đau đầu, co giật, cần đến viện kiểm tra xét nghiệm tầm soát bệnh liên quan đến ký sinh trùng.
Tin bài liên quan
Sự cố chạy thận nghiêm trọng ở Nghệ An: Lý do thực sự là gì?
Bếp ăn Bệnh viện HNĐK Nghệ An bị xử phạt về an toàn thực phẩm
Các tin bài khác
Bóc thành công khối u quái gần 2kg chèn ép vùng cổ cụ bà 81 tuổi
Lần đầu tiên tại Đồng bằng sông Cửu Long thực hiện ghép thận từ người hiến chết não
Ca mổ thay cùng lúc hai khớp gối, chấm dứt hơn 10 năm đau đớn cho nữ bệnh nhân 67 tuổi
Vinmec cứu sống người đàn ông dân tộc Dao bị vỡ tạng, cận kề cửa tử
Đọc nhiều
Cán bộ, học viên Học viện Hải quân dầm mình giúp nhân dân trong mưa lũ
Hàn Quốc viện trợ 1 triệu đô la Mỹ khắc phục hậu quả lũ lụt ở Việt Nam
Lực lượng Hải quân cứu hơn 2.200 lượt người trên biển
Cảnh sát biển Vùng 4 chống khai thác IUU, nâng cao ý thức ngư dân
Bờ cõi biển đảo
Miền đất - Con người Cuộc sống vùng biên Nhịp sống biển đảo Lịch sử chủ quyền Giao lưu hữu nghị
Cảnh sát biển Vùng 4 chống khai thác IUU, nâng cao ý thức ngư dân
Quảng Trị siết chặt quản lý tàu cá, quyết liệt chống khai thác IUU
Lực lượng Hải quân cứu hơn 2.200 lượt người trên biển
Multimedia
[Infographic] Lịch sử hình thành và phát triển Liên hiệp các tổ chức hữu nghị Việt Nam
[Infographic] 10 tháng năm 2025: Hà Nội đón 28,22 triệu lượt khách du lịch
[Infographic] Quan hệ hữu nghị truyền thống và hợp tác nhiều mặt Việt Nam-Phần Lan
Quan hệ hữu nghị truyền thống Việt Nam-Triều Tiên
[Infographic] Khuyến cáo về chiêu trò giả danh công an để lừa đảo
[Infographic] Chiến dịch "Tự hào Việt Nam - Nhuộm đỏ không gian mạng" chào mừng Quốc khánh 2/9
[Infographic] 7 tháng năm 2025: Hà Nội đón 18,36 triệu lượt khách du lịch
Ấn Độ tặng Giải thưởng Hòa bình Romesh Chandra cho bà Nguyễn Thị Bình
[Video] Ấn Độ tặng Giải thưởng Hòa bình Romesh Chandra cho bà Nguyễn Thị Bình
[Video] Lễ dâng y Kathina tại Đà Nẵng: Sợi dây gắn kết Phật giáo các nước châu Á
Cả nước hướng về Thái Nguyên: Chung tay giúp người dân vượt qua mưa lũ
Trailer lễ hội Văn hóa Thế giới tại Hà Nội lần thứ nhất
[Video] Không khí rộn ràng ngày khai giảng năm học mới trên cả nước
[Video] Petr Tsvetov: Việt Nam ấm áp và thân thuộc
Việt Nam - Cuba: 65 năm cùng chung nhịp đập
[Video] Thiếu tướng Lào kể chuyện nhân dân Việt Nam che chở giữa mưa bom 1972
[Video] Bạn bè quốc tế gửi lời chúc tới nhân dân Việt Nam
[Video] Nhiều hoạt động cứu trợ người dân Nghệ An bị lũ lụt
[Video] Người truyền cảm hứng về tình yêu nước
Sinh viên Lào đi chùa tắm Phật mừng Tết cổ truyền Bunpimay
[Video] 60 phút - Hành trình thay đổi cuộc đời
MV "Bắc Bling": Cụ già, em nhỏ ngân nga, du khách gần xa tỏ bày hứng thú







