Chơi vật tay với bạn, nam thanh niên bị gãy xương cánh tay
![]() |
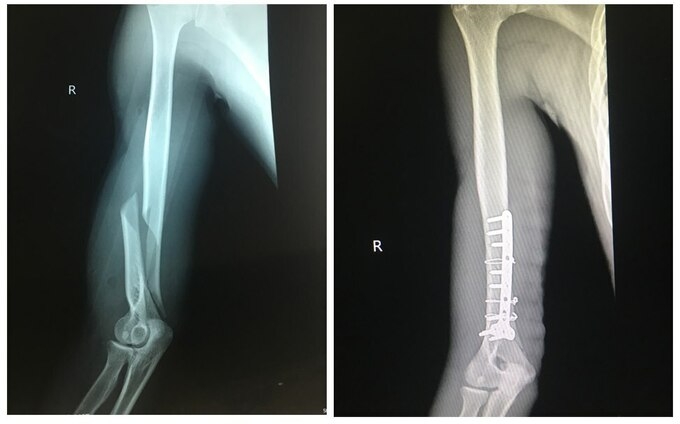
| Hình ảnh chụp X-quang cánh tay bị gãy trước và sau khi được nẹp đinh. (Ảnh: BVCC). |
Bệnh viện Việt Nam Thụy Điển Uông Bí (Quảng Ninh) vừa tiếp nhận trường hợp hy hữu bệnh nhân bị gãy cánh tay do chơi trò vật tay với bạn.
Theo lời kể của nam thanh niên này, khi đang gắng sức vật tay để thắng lại bạn mình, cậu bỗng nghe tiếng “rắc” kèm theo là cơn đau nhói và cánh tay không thể cử động.
Gia đình vội đưa đến cấp cứu tại Bệnh viện Việt Nam - Thụy Điển (Uông Bí). Sau khi tiến hành chụp X-quang, các bác sĩ xác định bệnh nhân bị gãy kín 1/3 dưới xương cánh tay phải. Bệnh nhân được chỉ định phẫu thuật nắn chỉnh xương và kết hợp xương nẹp vít.
Theo bác sĩ khoa Chấn thương - Chỉnh hình & Bỏng, khi tiến hành phẫu thuật, ê-kíp phát hiện lộ ổ gãy 1/3 dưới xương cánh tay phải, xương cánh tay bị gãy vặn xoắn đoạn chừng 8cm, di lệch nhiều, ổ gãy nhiều máu tụ. Ê-kíp phẫu thuật đã tiến hành làm sạch ổ gãy, đặt lại xương và cố định lại xương cánh tay bằng nẹp, vít.
Đối với những tổn thương chéo xoắn thông thường mất 3-4 tuần, hoặc có thể lên tới 3 - 6 tháng để hồi phục. Điều này ảnh hưởng rất lớn đến sức khỏe cũng như gây tốn kém cho người bệnh, chi phí tốn kém, mất khả năng lao động thời gian dài.
Các bác sĩ khuyến cáo vật tay là trò chơi nguy hiểm bởi sẽ tạo ra sức cơ không cân đối, tư thế không đúng sẽ làm bẻ gãy xương tay. Điều này không chỉ gây tổn thương đến xương mà còn có thể gây tổn thương thần kinh quay đi kèm, do thần kinh quay nằm rất sát xương. Khi đó người bệnh có thể bị giảm khả năng vận động, hạn chế cầm nắm hoặc nặng hơn có thể mất vận động cánh tay.
Biết chồng đến nhà tình địch, một phụ nữ 61 tuổi ở Nghệ An đã thuê người đánh chồng nhập viện với giá 1 triệu ... |
Cơ quan Cảnh sát điều tra Công an tỉnh Quảng Nam đã khởi tố, bắt tạm giam 4 tháng đối tượng đánh cháu bé 13 ... |
TĐO - Tối ngày 9/5, tại bệnh viện Đa khoa Hà Đông (Hà Nội) bệnh nhân V.Đ.C (SN 1981, xã Tân Hòa, huyện Quốc Oai, ... |
Tin bài liên quan
Hạ tầng Quảng Ninh “bật nhảy”, đô thị Móng Cái sẵn sàng cho chu kỳ phát triển mạnh nhất lịch sử
Quảng Ninh: Biến công nghiệp văn hoá thành động lực tăng trưởng kinh tế
Quảng Ninh gặp mặt doanh nghiệp, đẩy mạnh cải cách và tháo gỡ khó khăn
Các tin bài khác
Bệnh viện Đa khoa thành phố Cần Thơ ghép thận thành công ca đầu tiên từ người hiến sống
Ngôi sao Pickleball Việt kiều Alix Trương ký hợp đồng cùng Kamito
Vinamilk đồng hành cùng ngành y tế TPHCM chăm sóc sức khỏe cộng đồng
Cơ hội tư vấn miễn phí cùng chuyên gia hàng đầu Nhật Bản trong điều trị ung thư
Đọc nhiều
Tin quốc tế ngày 22/4: Campuchia phản ứng việc báo Mỹ sử dụng thuật ngữ “Scambodia”, Nga - Triều Tiên hợp long cầu đường bộ đầu tiên
Tái hiện cuộc đời Lênin - một vĩ nhân qua 156 tác phẩm nghệ thuật
Khi những trang sách mở cửa tri thức cho trẻ em vùng biên Mường Nhé
Chủ trương hợp tác với các nước láng giềng chung biên giới của Đảng và Nhà nước Việt Nam trong kỷ nguyên mới
Bờ cõi biển đảo
Miền đất - Con người Cuộc sống vùng biên Nhịp sống biển đảo Lịch sử chủ quyền Giao lưu hữu nghị
Nhật ký khai thác điện tử: Bước tiến trong hiện đại hóa nghề cá tại Thành phố Hồ Chí Minh
Khi những trang sách mở cửa tri thức cho trẻ em vùng biên Mường Nhé
Cảnh sát biển Việt Nam lên đường tuần tra liên hợp với Cảnh sát biển Trung Quốc
Multimedia
[Infographic] Việt Nam và Trung Quốc ký kết 32 văn kiện hợp tác
Chính phủ nhiệm kỳ Quốc hội khóa XVI có 14 Bộ, 3 cơ quan ngang Bộ
[Infographic] Các mốc thời gian sau cuộc bầu cử Đại biểu Quốc hội khóa XVI và đại biểu HĐND các cấp
[Infographic] Bầu cử Quốc hội và HĐND: Cách tra cứu thông tin về người ứng cử trên VNeID
[Infographic] Thủ tướng chỉ đạo 9 nhiệm vụ trọng tâm ứng phó biến động toàn cầu
[Infographic] Đến năm 2030, phấn đấu thu nhập bình quân người dân nông thôn tăng gấp 2,5-3 lần so với năm 2020
[Infographic] 4 mốc thời gian của 4 kỷ nguyên quan trọng trong 100 năm Đảng lãnh đạo
[Video] Cử tri cả nước nô nức đi bầu cử đại biểu Quốc hội khóa XVI và HĐND các cấp
[VIDEO] Tinh thần dân chủ của nhân dân Việt Nam trong bầu cử
Tổ chức Giao lưu Quốc tế Việt Nam Nhật Bản (FAVIJA): thúc đẩy hữu nghị, hợp tác đa phương
[Video] Vũ điệu chúc xuân sôi động của Đại sứ Hà Lan tại Việt Nam
[Video] Đại sứ Lào tại Việt Nam tin tưởng Đại hội XIV sẽ tạo động lực mạnh mẽ cho Việt Nam phát triển toàn diện
[Video] WVIV thúc đẩy nông nghiệp tái sinh, nâng cao sinh kế cộng đồng tại Thanh Hóa
[Video] Plan International và Tỉnh Đoàn Quảng Trị xây dựng lực lượng thanh niên hành động vì khí hậu
[Video] 10 sự kiện văn hóa, thể thao và du lịch tiêu biểu năm 2025
Plan International Việt Nam hỗ trợ khẩn cấp hơn 1,8 tỷ đồng cho người dân Đà Nẵng sau bão
Vietnam Happy Fest 2025: Lan tỏa những giá trị hạnh phúc giữa lòng Hà Nội
[VIDEO] Tổ chức Cứu trợ Trẻ em tiếp sức trẻ em Bắc Ninh sớm quay về nhịp sống sau thiên tai
[Video] World Vision hỗ trợ hơn 1.100 người dân Quảng Ngãi tiếp cận nước sạch bền vững
[Video] Đồng tâm, dốc sức cứu trợ đồng bào vùng lũ
[Video] Ấn Độ tặng Giải thưởng Hòa bình Romesh Chandra cho bà Nguyễn Thị Bình





