Đau bụng, chóng mặt, người đàn ông đi khám và phát hiện thứ không thể ngờ đến trong bụng
Vào ngày 29/3 năm ngoái, ông Glenford Turner, một cựu binh tại Connecticut, Mỹ đã tới bệnh viện West Haven để kiểm tra sau khi bị đau bụng trong một thời gian dài cũng như có hiện tượng chóng mặt.
Các bác sĩ đã cho ông chụp MRI, nhưng thủ thuật này đã phải dừng lại ngay lập tức khi bệnh nhân cho biết cơn đau ở bụng của ông ngày càng nghiêm trọng.
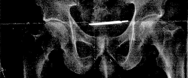
Sau đó, họ lại chụp X-quang cho người đàn ông này, và phát hiện ra... một chiếc dao mổ đang yên vị trong cơ thể ông Turner.
|
Con dao mổ đã nằm trong bụng ông Glenford Turner bốn năm.
Các bác sĩ xác nhận đây là một dụng cụ mổ còn sót lại trong ca phẫu thuật tiền liệt tuyến cho ông Turner tại bệnh viện West Haven VA vào năm 2013.
Ông Joel Faxon, luật sư của ông Turner cho biết: "Ông Turner đã phục vụ cho đất nước chúng ta hàng thập kỷ một cách đầy tự hào.
Thật kinh khủng khi biết rằng đổi lại, bệnh viện VA lại cảm ơn ông ấy bằng cách cho một bác sĩ mổ mới vào nghề thực hiện ca phẫu thuật, một người chẳng hề có năng lực qua việc để mất dao mổ trong bụng ông Turner và chẳng hề bận tâm đến việc đi tìm nó".
|
Bệnh viện West Haven VA. (Ảnh: Internet)
Ông Turner đã vô cùng sốc trước sự tắc trách và sai sót y khoa vô cùng nghiêm trọng này và đã quyết định đâm đơn kiện bệnh viện.
Hiện bệnh viện VA chưa đưa ra bình luận gì về vụ việc.
Theo ABC News
http://abcnews.go.com/US/army-vet-va-hospital-left-scalpel-inside-abdomen/story?id=52365991
Thanh Hương
Tin bài liên quan
Các tin bài khác
Thời tiết hôm nay (02/4): Bắc Bộ có mưa, Nam Bộ nắng nóng
Thời tiết hôm nay (25/3): Tây Bắc Bộ nắng nóng, Hà Nội mưa rải rác
Thời tiết hôm nay (23/3): Bắc Bộ mưa vài nơi, trưa chiều trời nắng
Thời tiết hôm nay (19/3): Miền Bắc sương mù bao phủ, trưa và chiều hửng nắng
Đọc nhiều
Sắc màu Tết cổ truyền Campuchia - Lào - Thái Lan rực rỡ tại thành phố Hồ Chí Minh
Duy trì mạch kết nối nhân dân Việt Nam – Slovakia
Sôi động giải bóng đá người Việt tại Nhật hướng về Trường Sa
Mạng lưới Tài năng Việt – Úc (AVTN) chính thức ra mắt tại Tây Úc
Bờ cõi biển đảo
Miền đất - Con người Cuộc sống vùng biên Nhịp sống biển đảo Lịch sử chủ quyền Giao lưu hữu nghị
Thực hiện khuyến nghị của EC, nhiều địa phương tăng tốc gỡ "thẻ vàng" IUU
Điện Biên phát động trồng mới cây cà phê, mắc ca tại 42 xã, phường
Tàu hộ vệ Asahi Nhật Bản thăm hữu nghị Đà Nẵng
[Video] Cử tri cả nước nô nức đi bầu cử đại biểu Quốc hội khóa XVI và HĐND các cấp
[VIDEO] Tinh thần dân chủ của nhân dân Việt Nam trong bầu cử
Tổ chức Giao lưu Quốc tế Việt Nam Nhật Bản (FAVIJA): thúc đẩy hữu nghị, hợp tác đa phương
[Video] Vũ điệu chúc xuân sôi động của Đại sứ Hà Lan tại Việt Nam
[Video] Đại sứ Lào tại Việt Nam tin tưởng Đại hội XIV sẽ tạo động lực mạnh mẽ cho Việt Nam phát triển toàn diện
[Video] WVIV thúc đẩy nông nghiệp tái sinh, nâng cao sinh kế cộng đồng tại Thanh Hóa
[Video] Plan International và Tỉnh Đoàn Quảng Trị xây dựng lực lượng thanh niên hành động vì khí hậu
[Video] 10 sự kiện văn hóa, thể thao và du lịch tiêu biểu năm 2025
Plan International Việt Nam hỗ trợ khẩn cấp hơn 1,8 tỷ đồng cho người dân Đà Nẵng sau bão
Vietnam Happy Fest 2025: Lan tỏa những giá trị hạnh phúc giữa lòng Hà Nội
[VIDEO] Tổ chức Cứu trợ Trẻ em tiếp sức trẻ em Bắc Ninh sớm quay về nhịp sống sau thiên tai
[Video] World Vision hỗ trợ hơn 1.100 người dân Quảng Ngãi tiếp cận nước sạch bền vững
[Video] Đồng tâm, dốc sức cứu trợ đồng bào vùng lũ
[Video] Ấn Độ tặng Giải thưởng Hòa bình Romesh Chandra cho bà Nguyễn Thị Bình




