Phẫu thuật thành công cho phi công Canada gãy trật khớp háng nặng
Bị tai nạn giao thông, chân phải của anh Dustin không thể cử động được và rất đau. Vào cấp cứu tại Bệnh viện Đa khoa Quốc tế Vinmec Times City lúc 3h30 sáng 29/12/2016, anh Dustin được chẩn đoán trật khớp háng hoàn toàn và vỡ cột sau ổ cối bên phải. Khi biết đây là một thương tổn xương khớp rất nặng, anh Dustin Spencer hết sức lo lắng và đã có ý định bay về nước điều trị. Tuy nhiên, các thủ tục về Canada mất nhiều thời gian và có thể khiến việc điều trị chậm ảnh hưởng lớn đến khả năng phục hồi của anh; thậm chí tăng khả năng biến chứng hoại tử chỏm xương đùi. Trong giờ phút quyết định, anh Dustin đã đặt hoàn toàn niềm tin vào TS Nguyễn Đắc Nghĩa – Trưởng đơn nguyên Chấn thương chỉnh hình là một chuyên gia dày dạn trong phẫu thuật các chấn thương khớp háng, khớp gối ở Việt Nam.
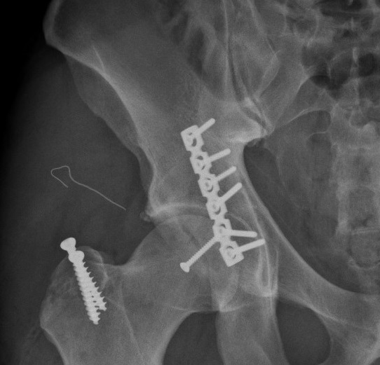
|
Các bác sĩ Vinmec đã mổ nắn trật khớp, đồng thời kết xương bằng nẹp vít ổ cối để xử trí tai nạn trật khớp háng cho anh Dustin.
Chấn thương của anh Dustin khá hiếm gặp, vùng tổn thương ở sâu, vi trường phẫu thuật hạn chế, xung quanh các mảnh vỡ là dây thần kinh và mạch máu quan trọng. Với ca chấn thương này, TS Nghĩa và các bác sĩ Vinmec đã tiến hành nắn trật khớp trở lại, đồng thời kết xương bằng nẹp vít ổ cối thành công cho người bệnh trong ca mổ kéo dài hơn 4h. Ba ngày sau mổ, Dustin đã bắt đầu tập đi. Và 6 ngày sau, anh đã được ra viện, đồng thời định kỳ đến tập phục hồi chức năng theo các bài tập chuyên sâu tại bệnh viện.
|
Anh Dustin chăm chỉ tập các bài phục hồi chức năng chuyên sâu theo hướng dẫn.
Giữa tháng 1/2017, trở lại tái khám lần cuối cùng với BS Đoàn Mạnh Hùng (Đơn nguyên Chấn thương chỉnh hình) bác sĩ trực tiếp điều trị - trước khi về quê hương nghỉ dưỡng để phục hồi hoàn toàn, anh Dustin đã gửi lời cảm ơn tới tất cả kíp bác sĩ, điều dưỡng và kỹ thuật viên tại Vinmec. “Canada là đất nước có dịch vụ y tế rất tốt. Trải qua thời gian ở Vinmec, tôi thấy dịch vụ ở đây không kém gì tại Canada. Tôi rất cảm động, trong những giờ phút cần kíp, các bác sĩ Vinmec đã cùng nhau phối hợp ăn ý để có được giải pháp chữa trị tốt nhất cho người bệnh. Tôi cũng sẽ nhớ mãi các bạn điều dưỡng khi chăm sóc vết thương rất chú ý cẩn thận, tránh cho tôi phải chịu thêm bất cứ lần đau nào. Chính sự chuyên nghiệp từ những chi tiết nhỏ nhất như vậy đã đem lại chất lượng dịch vụ tốt ở Vinmec”- anh Dustin chia sẻ.
|
Được mổ thành công, tiếp tục kiên trì luyện tập, anh Dustin đã phục hồi rất tốt sau ca chấn thương.
Sau 1 tháng mổ, xương gãy sẽ liền. Anh Dustin hy vọng lúc đó có thể đi lại bình thường. TS Nguyễn Đắc Nghĩa cho biết: “Với các ca phẫu thuật khớp háng phức tạp, sự thành công không chỉ là ở kỹ thuật mổ tốt mà còn từ sự chăm sóc của các bác sĩ trực tiếp điều trị và điều dưỡng sau đó để vết mổ nhanh lành; và cũng một phần không nhỏ từ là sự năng động của người bệnh trở lại tập luyện ngay theo đúng hướng dẫn. Kết hợp được tất cả điều đó, anh Dustin đã phục hồi khả quan như vậy”.
Nói thêm về các phẫu thuật chấn thương chỉnh hình tại Vinmec Times City, TS Nguyễn Đắc Nghĩa cho biết thêm: “Khoa có các bác sĩ chuyên sâu về từng lĩnh vực như cột sống, khớp gối, khớp háng, không ngừng cập nhật về các kỹ thuật mới. Tại Vinmec, nhiều quy trình kỹ thuật chấn thương chỉnh hình được thực hiện một cách thường qúy và cho đến nay đều đạt kết quả rất tốt với phần lớn các trường hợp đã điều trị”.
PV
Tin bài liên quan
Các tin bài khác
Bệnh viện Đa khoa thành phố Cần Thơ ghép thận thành công ca đầu tiên từ người hiến sống
Ngôi sao Pickleball Việt kiều Alix Trương ký hợp đồng cùng Kamito
Vinamilk đồng hành cùng ngành y tế TPHCM chăm sóc sức khỏe cộng đồng
Cơ hội tư vấn miễn phí cùng chuyên gia hàng đầu Nhật Bản trong điều trị ung thư
Đọc nhiều
Dấu ấn nhiệm kỳ Đại sứ Jigjee Sereejav trong quan hệ Việt Nam - Mông Cổ
Hơn 2.300 ý kiến cử tri gửi Quốc hội: Đồng thuận cao về các chủ trương, chính sách lớn
Tin quốc tế ngày 24/4: Indonesia không thu phí tàu qua eo biển Malacca, Trung Quốc kêu gọi xóa sổ trung tâm lừa đảo ở Campuchia
Kiện toàn Ủy ban quốc gia Vì sự tiến bộ của phụ nữ Việt Nam
Bờ cõi biển đảo
Miền đất - Con người Cuộc sống vùng biên Nhịp sống biển đảo Lịch sử chủ quyền Giao lưu hữu nghị
Nhật ký khai thác điện tử: Bước tiến trong hiện đại hóa nghề cá tại Thành phố Hồ Chí Minh
Khi những trang sách mở cửa tri thức cho trẻ em vùng biên Mường Nhé
Cảnh sát biển Việt Nam lên đường tuần tra liên hợp với Cảnh sát biển Trung Quốc
Multimedia
[Infographic] Việt Nam và Trung Quốc ký kết 32 văn kiện hợp tác
Chính phủ nhiệm kỳ Quốc hội khóa XVI có 14 Bộ, 3 cơ quan ngang Bộ
[Infographic] Các mốc thời gian sau cuộc bầu cử Đại biểu Quốc hội khóa XVI và đại biểu HĐND các cấp
[Infographic] Bầu cử Quốc hội và HĐND: Cách tra cứu thông tin về người ứng cử trên VNeID
[Infographic] Thủ tướng chỉ đạo 9 nhiệm vụ trọng tâm ứng phó biến động toàn cầu
[Infographic] Đến năm 2030, phấn đấu thu nhập bình quân người dân nông thôn tăng gấp 2,5-3 lần so với năm 2020
[Infographic] 4 mốc thời gian của 4 kỷ nguyên quan trọng trong 100 năm Đảng lãnh đạo
[Video] Cử tri cả nước nô nức đi bầu cử đại biểu Quốc hội khóa XVI và HĐND các cấp
[VIDEO] Tinh thần dân chủ của nhân dân Việt Nam trong bầu cử
Tổ chức Giao lưu Quốc tế Việt Nam Nhật Bản (FAVIJA): thúc đẩy hữu nghị, hợp tác đa phương
[Video] Vũ điệu chúc xuân sôi động của Đại sứ Hà Lan tại Việt Nam
[Video] Đại sứ Lào tại Việt Nam tin tưởng Đại hội XIV sẽ tạo động lực mạnh mẽ cho Việt Nam phát triển toàn diện
[Video] WVIV thúc đẩy nông nghiệp tái sinh, nâng cao sinh kế cộng đồng tại Thanh Hóa
[Video] Plan International và Tỉnh Đoàn Quảng Trị xây dựng lực lượng thanh niên hành động vì khí hậu
[Video] 10 sự kiện văn hóa, thể thao và du lịch tiêu biểu năm 2025
Plan International Việt Nam hỗ trợ khẩn cấp hơn 1,8 tỷ đồng cho người dân Đà Nẵng sau bão
Vietnam Happy Fest 2025: Lan tỏa những giá trị hạnh phúc giữa lòng Hà Nội
[VIDEO] Tổ chức Cứu trợ Trẻ em tiếp sức trẻ em Bắc Ninh sớm quay về nhịp sống sau thiên tai
[Video] World Vision hỗ trợ hơn 1.100 người dân Quảng Ngãi tiếp cận nước sạch bền vững
[Video] Đồng tâm, dốc sức cứu trợ đồng bào vùng lũ
[Video] Ấn Độ tặng Giải thưởng Hòa bình Romesh Chandra cho bà Nguyễn Thị Bình




